Zum Hauptinhalt springen
Kostenloser Versand ab 60 € *

100 Tage Geld-zurück-GarantieWir liefern schnell nach DE, AT , CH und LU

Kostenloser Versand ab 60 € *
100 Tage Geld-zurück-Garantie
Leaky Gut: Wissenschaftliche Erkenntnisse & effektive Maßnahmen zur Regeneration Deines Darms

BLOGARTIKEL

Leaky Gut: Wissenschaftliche Erkenntnisse & effektive Maßnahmen zur Regeneration Deines Darms

22. Mai 2025

Hast Du schon einmal von Leaky Gut gehört – oder hast Du es vielleicht sogar? Beim sogenannten Leaky Gut Syndrom handelt es sich um eine vermehrt durchlässige Darmbarriere, übersetzt aus dem Englischen auch “löchriger Darm”. Anders als es klingt, ist Leaky Gut aber kein akuter Notfall, sondern ein chronischer, meist entzündlicher Prozess, der sich über einen langen Zeitraum entwickelt und über Jahre zu Beschwerden führt, die auch erstmal schlecht einzuschätzen sind. Heute geht es also um dieses Syndrom, warum die Darmbarriere so wichtig für Deine Gesundheit ist und welche Ansätze es gibt, diese zu stärken.

Diese Themen erwarten Dich in diesem Beitrag:

  • Was ist das Leaky Gut Syndrom – ist es eine Krankheit?
  • Symptome und Entstehung von Leaky Gut
  • Wie Du Deinen Darm bei Leaky Gut wieder stärken kannst: die Rolle von Ballaststoffen und Nährstoffen

Hinweis: Wie immer sind die Informationen in unserem Artikel von uns selbst recherchiert und geschrieben – ohne Beteiligung von ChatGPT und Konsorten. Viel Spaß beim Lesen!

Die wichtigsten Erkenntnisse vorab:

  • Leaky Gut kann eine Reihe an Symptomen des Darmtrakts verursachsen, und auch für viele Erkrankungen ursächlich sein
  • Eine Darmdysbiose, physischer Stress, vemrinderte Durchblutung, Infektionen und Ernährung spielen bei der Entstehung von Leaky Gut eine entscheidende Rolle
  • Mit Mikronährstoffen, sekundären Pflanzenstoffen, Aminosäuren und Ballaststoffen kannst Du Deinen Darm bei Leaky Gut stärken

Was ist das Leaky Gut Syndrom – ist es eine Krankheit?

Das Leaky Gut Syndrom bedeutet durchlässiger Darm und ist, zumindest noch, kein feststehender Krankheitsbegriff. Das liegt daran, dass das Krankheitsbild zum einen noch recht neu ist und sich zum anderen stark mit anderen, meist chronisch-entzündlichen Erkrankungen überschneidet. Ob nun feststehende Krankheit oder nicht, man kann diesem Syndrom seinen Krankheitswert nicht absprechen, denn die Symptome und die Menge an Betroffenen stehen für sich.

Symptome von Leaky Gut

Die Symptome des durchlässigen Darms sind weitreichend, die meisten Betroffenen klagen jedoch meist über chronische, wiederkehrende Bauchschmerzen, Blähungen, Durchfall und Bauchkrämpfe.

Mit dem Leaky Gut Syndrom werden weiterhin eine Reihe anderer Erkrankungen assoziiert – das heißt, unter anderem diese Erkrankungen treten gehäuft bei Leaky Gut Patienten auf:

  • Hauterkrankungen (z. B. Akne, Rosazea, Schuppenflechte1, Neurodermitis)
  • chronische Gelenk- und Muskelschmerzen sowie Entzündungen
  • chronische Entzündungen (auch chronisch-entzündliche Darmerkrankungen)
  • Autoimmunerkrankungen (z. B. Hashimoto, Multiple Sklerose, Diabetes mellitus, rheumatische Erkrankungen)

Übersicht: Symptome von Leaky Gut

  • Bauchschmerzen, Blähungen, Durchfall, Bauchkrämpfe
  • Verstopfung
  • Kopfschmerzen
  • Müdigkeit/Schlappheit/Leistungsabfall
  • Nahrungsmittelunverträglichkeiten
  • Nahrungsmittelallergien
  • Stimmungsschwankungen und Depression

Diese Übersicht lässt recht schnell einen gemeinsamen Nenner erkennen: Entzündungen2. Diese sind vermutlich auch stark an der Entstehung des Leaky Gut beteiligt. Wie man auf das Leaky Gut Syndrom übrigens testet, erfährst Du hier, in einem weiteren Blogartikel über das spannende Thema.

Um zu wissen, wie wir am besten gegen das Problem angehen, lass’ uns aber zuerst einmal auf die Entstehung, also die Pathogenese blicken.

Entstehung von Leaky Gut – Pathogenese

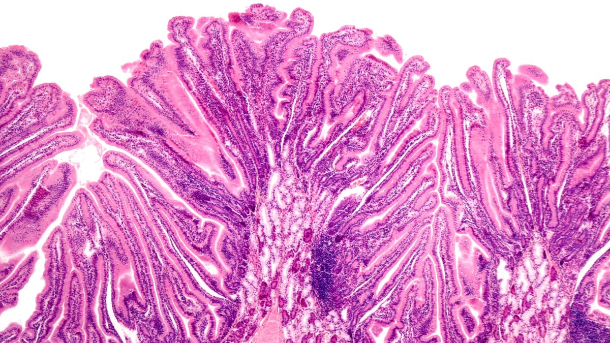
Die Darmschleimhaut ist in zwei Schichten – eine innere und eine äußere – gegliedert. Die innere Schicht ist für Bakterien undurchlässig und bildet eine Barriere, die Mikroorganismen vom Epithel trennt. Sie ist auch für die Rehydrierung und Regeneration verantwortlich und dient als Schutzschild gegen Verdauungsenzyme. Damit sie diese Funktionen erfüllen kann, ist die Darmbarriere stark reguliert und über sogenannte Tight Junctions (auch Zonula occludens, Zellkontakte) eng verknüpft – und damit das, was wir unter Darmbarriere verstehen.

Darmbarriere Schutzschichten Dysbiose Eubiose

Beim Leaky Gut Syndrom ist diese innere Schicht “undicht”. Hier geht diese Verknüpfung durch Tight Junctions teilweise verloren, beispielsweise durch entzündliche Veränderungen3, und es bilden sich kleine Lücken zwischen den Zellen, durch die Stoffe tatsächlich durch die Barriere gelangen können – der einst regulierte Prozess, welche Stoffe, die Darmbarriere passieren können, wird dysreguliert.

Ursachen für die Entstehung des Leaky Gut Syndroms sind nicht vollständig bekannt, dazu gehören jedoch neben einem entzündlichen Milieu auch ein dysbiotisches Darmmikrobiom – zum Beispiel durch die Fehlbesiedlung mit unserer Darmgesundheit schädlichen Mikroben, beispielsweise Enterococcus gallinarum3. Auch physischer Stress, eine verminderte Durchblutung des Darms, Infektionen (bspw. durch Campylobacter jejuni) und Ernährungsgewohnheiten4 (ballaststoffarm, fruktosereich) können zu der Entstehung des Leaky Gut Syndroms beitragen.

Auf der anderen Seite gibt es Faktoren, die Deine Darmbarriere stärken, beispielsweise ballaststoffreiche Nahrungsmittel.

Ballaststoffe bei Leaky Gut

Ballaststoffe werden von den im Darm ansässigen Bakterien verstoffwechselt. Die bei dieser Verstoffwechslung entstehenden Stoffwechselprodukte verfügen über barrierestärkende Effekte. So zeigt sich, dass Butyrat, eine der wichtigsten Stoffwechselprodukte der Darmflora, schützend auf die Barriere- und Tight-Junction-Funktion wirkt, antientzündliche Effekte aufweist sowie das Wachstum potenzieller Erreger und “schädlicher” Darmbakterien hemmt. Gleichzeitig trägt Butyrat zur Energieproduktion der Darmschleimhaut bei, was die oben bereits erwähnten positiven Auswirkungen fördert.5 (Welche weiteren überzeugenden Eigenschaften Butyrat für Deine Darmgesundheit haben kann, kannst Du in diesem Beitrag nachlesen.)

Welche Ernährungs- und Lebensgewohnheiten bei Leaky Gut im Detail wichtig sind, erfährst Du hier. Manchmal erfordert es über die Veränderung der Ernährungsgewohnheiten und die Reduktion von Stress hinaus jedoch noch zusätzliche Unterstützung zur Regulation der Darmbarriere. Genau hier setzt auch die derzeitige Evidenz an.

Welche Wirkstoffe können also potenziell dabei helfen, Deine Darmbarriere zu stärken?

Wie kannst Du Deinen Darm stärken?

Grundsätzlich diskutiert werden Mikronährstoffe wie Vitamine und Mineralstoffe, sekundäre Pflanzenstoffe, Aminosäuren und spezielle Kohlenhydrate bzw. Ballaststoffe. Es ist vor diesem Kontext wichtig zu erwähnen, dass es sich hier um ein extrem breites Feld handelt und wir daher hier nur ausgewählte Wirkstoffe ansprechen werden.

Beginnen wir gleich mit einer größeren Gruppe, den Aminosäuren

Eine der Aminosäuren, die am meisten zur Diskussion stehen, die Darmbarriere zu stärken, ist L-Glutamin. L-Glutamin ist eine nicht-essenzielle, aber proteinogene (in Proteinen enthalten) Aminosäure, die bekannterweise bevorzugt von der Darmschleimhaut als Energiequelle genutzt wird.

  • Weiterhin nimmt L-Glutamin Einfluss auf das Immunsystem: So zeigte sich in einer klinischen Studie, dass sich die Gabe von L-Glutamin förderlich auf die Darmbarriere bei postinfektiösem Reizdarmsyndrom auswirkte6.
  • Auch für sportinduzierte Darmpermeabilitätsstörungen könnte die Gabe von L-Glutamin relevant sein – so eine weitere randomisierte kontrollierte Studie7.
  • Die genaue Dosis sowie die Anwendungsdauer sind jedoch noch nicht bekannt und dürften sich zwischen den Anwendungsgebieten unterscheiden, generell werden aber häufig Bereiche zwischen 5-8 Gramm pro Tag angegeben.

Weitere Aminosäuren, die eine Relevanz für die Darmbarriere haben könnten, sind Glycin, die kleinste und universellste Aminosäure des menschlichen Körpers, und L-Cystein, eine schwefelhaltige Aminosäure mit antioxidativem Potenzial. Beide Aminosäuren sind Bestandteil des wichtigen körpereigenen Antioxidans Glutathion.

  • Erste Studien an Tieren zeigen eine Reduktion der Darmpermeabilität nach L-Cystein (bzw. N-Acetylcystein) Gabe8,9. Obwohl die Lage also vielversprechend ist, stehen weitere Studien noch aus.
  • Weitere Aminosäuren stehen ebenfalls zur Debatte – nennenswert sind hier unter anderem L-Prolin, L-Serin und L-Tryptophan.

Wie bereits erwähnt, übernehmen antioxidative Substanzen eine potenzielle Rolle in der Behandlung einer durchlässigeren Darmbarriere. Dazu gehören auch Polyphenole, eine Gruppe an pflanzenstämmigen Substanzen. Besondere Aufmerksamkeit erhalten in diesem Kontext die Anthocyane (eine Gruppe an Polyphenolen, genauer an wasserlöslichen Pflanzenfarbstoffen), die auch beispielsweise in Heidelbeeren enthalten sind.

  • So wurde in einer randomisierten kontrollierten Studie der Einfluss einer polyphenolreichen Ernährung (724 mg/Tag) auf die Parameter für die Darmbarriere gezeigt – hier konnten die fäkalen und Serum-Calprotectin-Werte gesenkt und die Tight Junction-Expression (ZO-1) erhöht werden, was auf eine verbesserte Barrierefunktion hinweist10,11.
  • Auch in einer Pilotstudie zum Effekt von Anthocyanen auf Colitis ulcerosa konnte ein Effekt auf die Darmbarriere gezeigt werden12. So konnte bei etwa 90 % der Patienten eine Antwort auf die Krankheitsaktivität und bei etwa 63 % der Patienten eine Remission gezeigt werden.
  • In einer Meta-Analyse wurde außerdem eine Reduktion von Entzündungsparametern (CRP, IL-6, TNF-alpha) bei der Einnahme von isolierten Anthocyanen festgestellt.

Der Effekt dieser Polyphenole dürfte also vor allem auf der antientzündlichen und antioxidativen Wirkung beruhen.

Ein weiterer interessanter Inhaltsstoff ist Colostrum, die sogenannte Erstmilch. Es handelt sich dabei um die erste Milch, die nach der Geburt abgegeben wird. Im Gegensatz zur Folgemilch hat sie eine leicht andere Zusammensetzung, beispielsweise einen höheren Gehalt an IgG-Antikörpern.

Das bovine Colostrum (Kuh-Colostrum) wurde in einigen Studien zur Behandlung des Leaky Gut Syndroms angewendet – mit positiven ersten Ergebnissen:

  • So wurde in einer Meta-Analyse eine Reduktion der Darmpermeabilität beobachtet – sowohl bei gesunden Sportlern als auch bei Patienten13.
  • Eine weitere Meta-Analyse betrachtete lediglich den Effekt bei Athleten in der Behandlung von sportinduziertem Leaky-Gut-Syndrom14. Hier konnte gezeigt werden, dass bovines Colostrum dabei helfen könnte, eine erhöhte Darmpermeabilität beim Athleten rückgängig zu machen.

2’-Fucosyllactose ist ein kleines, lösliches Trisaccharid, also ein Zuckerkomplex, das in der menschlichen Milch vorkommt. Es fällt unter den Begriff „Human Milk Oligosaccharide“ (HMO’s) und ist zusammen mit anderen Glykanen natürlich in der Muttermilch vorhanden. Es kommt ansonsten nicht natürlicherweise in der Ernährung von Erwachsenen vor und ist daher ein potenziell wertvolles Präbiotikum. (Für die Nahrungsergänzung wird übrigens eine mittels Fermentation hergestellte 2‘-Fucosyllactose verwendet, keinesfalls die natürliche Quelle der Muttermilch.)

Obwohl ein Großteil der derzeitigen Evidenz noch auf präklinischen Studien oder Humanstudien für die Kinderheilkunde beruht, gibt es schon ein paar klinische Studien an Erwachsenen:

  • So zeigt sich in einer randomisierten kontrollierten Cross-Over Studie, dass eine Gabe von 2’-Fucosyllactose die Konzentration von Butyrat erhöhen konnte, sowohl bei normal- als auch bei übergewichtigen Männern15.
  • In einer Pilotstudie an Patienten mit Reizdarmsyndrom oder Colitis ulcerosa wurden diesen 2 Gramm 2’-Fucosyllactose für sechs Wochen verabreicht und anschließend unter anderem eine Verbesserung des Gesamtindex für die gastrointestinale Lebensqualität (GIQLI), der Anzahl der Bifidobakterien und Faecalibacterium prausnitzii (ein wichtiger Butyratproduzent) im Stuhl sowie der kurzkettigen Fettsäuren im Stuhl, einschließlich Butyrat, beobachtet16. All das ist assoziiert mit einer Verbesserung der Darmgesundheit.

Auch weitere Vitalstoffe wie Zink, die beruhigende Aloe Vera oder auch das bekannte Vitamin C haben potenzielle Effekte auf die Darmbarriere – wie auch eine Menge anderer Stoffe. Das große Problem, vor dem Du jetzt vermutlich stehst: Woher weiß ich, welchen Stoff und wie viel davon ich brauche? Und in welcher Kombination ergibt die Einnahme für mich Sinn? Wenn Du das gerade denkst, dann lies’ weiter!

Mikronährstoffe für den Darm – Praxistipps

Zuerst einmal vorab: Die Umsetzung der derzeitigen Evidenz findet schon viel statt, auch wenn noch nicht immer und überall das gesamte nötige Wissen vorhanden ist. Tendenziell handelt es sich bei allen genannten Wirkstoffen um gut verträgliche, nebenwirkungsarme Stoffe, dessen Einnahme in der Regel kein Problem darstellt – frage dennoch am besten Deinen Arzt oder Therapeuten vor einer Einnahme!

Und jetzt auch schon zu unseren Tipps:

  1. Wähle ein Komplexpräparat, also ein Produkt mit mehr als einem Wirkstoff, sodass Du am ehesten von Effekten profitierst! Es gibt einige potenzielle Wirkstoffe, die einen Effekt besonders beim einen, nicht jedoch beim anderen Krankheitsbild oder Symptom zeigen könnten – ein Komplexprodukt sichert Dich am besten ab.
  2. Achte als Basis auf eine gesunde, ballaststoffreiche Ernährung! Ballaststoffe sind beim Thema Darm wirklich das A und O.
  3. Verlasse Dich nicht auf Probiotika alleine! In diesem Beitrag haben wir Probiotika nicht angesprochen – aus gutem Grund. Probiotika sind lebende Bakterienstämme, die bei Einnahme die Darmflora anreichern sollen. Das Problem: Wenn die Darmflora nicht ausreichend mit Präbiotika (Ballaststoffen) gefüttert wird, können auch Probiotika langfristig keine Besserung herbeiführen, da sie, genau wie die Bakterien davor, keine optimalen Lebensbedingungen haben. Zudem siedeln sich neue Bakterien nicht einfach an; die Bedingungen müssen stimmen, und auch dies ist ein komplexes Thema. Wenn Du mehr zu Probiotika lesen möchtest, dann klicke gerne hier.
  4. Höre auf Dich selbst! Du kennst Deinen Körper und Deine Symptome am besten und merkst, wenn Du zusätzliche Unterstützung benötigst. Ein gesunder Darm ohne Probleme benötigt in der Regel keine Präparate. Ein beanspruchter Darm, der häufig durch Blähungen, Durchfall und Co. auffällt, wohl eher schon.

Zusammenfassung

Das Leaky Gut Syndrom ist zwar noch kein offiziell anerkannter Krankheitsbegriff, doch die Symptome und wissenschaftlichen Erkenntnisse zur gestörten Darmbarriere zeigen, dass es sich um ein ernstzunehmendes gesundheitliches Problem handelt. Die Darmbarriere spielt eine zentrale Rolle für unsere Gesundheit, insbesondere durch ihre Funktion als Schutzmechanismus gegen Entzündungen und pathogene Keime. Die wissenschaftliche Datenlage zeigt vielversprechende Ansätze, um Deine Darmbarriere zu stärken – von Aminosäuren wie L-Glutamin über Polyphenole, Colostrum bis hin zu präbiotischen Substanzen wie 2’-Fucosyllactose. Dennoch bleibt ein ganzheitlicher Ansatz entscheidend, der sowohl eine ballaststoffreiche Ernährung, einen bewussten Umgang mit Stress und potenziell eine gezielte Supplementierung umfasst. Höre auf Deinen Körper, beobachte, was Dir guttut, und setze gezielt Maßnahmen, um Deine Darmgesundheit nachhaltig zu fördern!

Referenzen (Englisch)

  1. Polak, K., Bergler-Czop, B., Szczepanek, M., Wojciechowska, K., Frątczak, A., & Kiss, N. (2021). Psoriasis and Gut Microbiome-Current State of Art. International journal of molecular sciences, 22(9), 4529. https://doi.org/10.3390/ijms22094529
  2. Di Vincenzo, F., Del Gaudio, A., Petito, V., Lopetuso, L. R., & Scaldaferri, F. (2024). Gut microbiota, intestinal permeability, and systemic inflammation: a narrative review. Internal and emergency medicine, 19(2), 275–293. https://doi.org/10.1007/s11739-023-03374-w
  3. Kinashi, Y. & Hase, K. (2021). Partners in Leaky Gut Syndrome: Intestinal Dysbiosis and Autoimmunity. Front. Immunol. https://doi.org/10.3389/fimmu.2021.673708
  4. Binienda, A., Twardowska, A., Makaro, A., & Salaga, M. (2020). Dietary Carbohydrates and Lipids in the Pathogenesis of Leaky Gut Syndrome: An Overview. International journal of molecular sciences, 21(21), 8368. https://doi.org/10.3390/ijms21218368
  5. Singh, V., Lee, G., Son, H., Koh, H., Kim, E. S., Unno, T., & Shin, J. H. (2023). Butyrate producers, “The Sentinel of Gut”: Their intestinal significance with and beyond butyrate, and prospective use as microbial therapeutics. Frontiers in microbiology, 13, 1103836. https://doi.org/10.3389/fmicb.2022.1103836
  6. Zhou Q, Verne ML, Fields JZ, Lefante JJ, Basra S, Salameh H, et al. Randomised placebo-controlled trial of dietary glutamine supplements for postinfectious irritable bowel syndrome. Gut. 2019 Jun;68(6):996–1002.
  7. Pugh, J. N., Sage, S., Hutson, M., Doran, D. A., Fleming, S. C., Highton, J., Morton, J. P., & Close, G. L. (2017). Glutamine supplementation reduces markers of intestinal permeability during running in the heat in a dose-dependent manner. European journal of applied physiology, 117(12), 2569–2577. https://doi.org/10.1007/s00421-017-3744-4
  8. Kim, C. J., Kovacs-Nolan, J., Yang, C., Archbold, T., Fan, M. Z., & Mine, Y. (2009). L-cysteine supplementation attenuates local inflammation and restores gut homeostasis in a porcine model of colitis. Biochimica et biophysica acta, 1790(10), 1161–1169. https://doi.org/10.1016/j.bbagen.2009.05.018
  9. Hou, Y., Wang, L., Zhang, W., Yang, Z., Ding, B., Zhu, H., Liu, Y., Qiu, Y., Yin, Y., & Wu, G. (2012). Protective effects of N-acetylcysteine on intestinal functions of piglets challenged with lipopolysaccharide. Amino acids, 43(3), 1233–1242. https://doi.org/10.1007/s00726-011-1191-9
  10. Marino, M., Del Bo’, C., Martini, D., Perna, S., Porrini, M., Cherubini, A., Gargari, G., Meroño, T., Hidalgo-Liberona, N., Andres-Lacueva, C., Kroon, P. A., Guglielmetti, S., & Riso, P. (2024). A (poly)phenol-rich diet reduces serum and faecal calprotectin in older adults with increased intestinal permeability: the MaPLE randomised controlled trial. BMC geriatrics, 24(1), 707. https://doi.org/10.1186/s12877-024-05272-y
  11. Del Bo’, C., Bernardi, S., Cherubini, A., Porrini, M., Gargari, G., Hidalgo-Liberona, N., González-Domínguez, R., Zamora-Ros, R., Peron, G., Marino, M., Gigliotti, L., Winterbone, M. S., Kirkup, B., Kroon, P. A., Andres-Lacueva, C., Guglielmetti, S., & Riso, P. (2021). A polyphenol-rich dietary pattern improves intestinal permeability, evaluated as serum zonulin levels, in older subjects: The MaPLE randomised controlled trial. Clinical nutrition (Edinburgh, Scotland), 40(5), 3006–3018. https://doi.org/10.1016/j.clnu.2020.12.014
  12. Biedermann, L., Mwinyi, J., Scharl, M., Frei, P., Zeitz, J., Kullak-Ublick, G. A., Vavricka, S. R., Fried, M., Weber, A., Humpf, H. U., Peschke, S., Jetter, A., Krammer, G., & Rogler, G. (2013). Bilberry ingestion improves disease activity in mild to moderate ulcerative colitis – an open pilot study. Journal of Crohn’s & colitis, 7(4), 271–279. https://doi.org/10.1016/j.crohns.2012.07.010
  13. Hajihashemi, P., Haghighatdoost, F., Kassaian, N., Hoveida, L., Tamizifar, B., Nili, H., Rahim Khorasani, M., & Adibi, P. (2024). Bovine Colostrum in Increased Intestinal Permeability in Healthy Athletes and Patients: A Meta-Analysis of Randomized Clinical Trials. Digestive diseases and sciences, 69(4), 1345–1360. https://doi.org/10.1007/s10620-023-08219-2
  14. Dziewiecka, H., Buttar, H. S., Kasperska, A., Ostapiuk-Karolczuk, J., Domagalska, M., Cichoń, J., & Skarpańska-Stejnborn, A. (2022). A Systematic Review of the Influence of Bovine Colostrum Supplementation on Leaky Gut Syndrome in Athletes: Diagnostic Biomarkers and Future Directions. Nutrients, 14(12), 2512. https://doi.org/10.3390/nu14122512
  15. Canfora, E. E., Vliex, L. M. M., Wang, T., Nauta, A., Bouwman, F. G., Holst, J. J., Venema, K., Zoetendal, E. G., & Blaak, E. E. (2023). 2′-fucosyllactose alone or combined with resistant starch increases circulating short-chain fatty acids in lean men and men with prediabetes and obesity. Frontiers in nutrition, 10, 1200645. https://doi.org/10.3389/fnut.2023.1200645
  16. Ryan, J. J., Monteagudo-Mera, A., Contractor, N., & Gibson, G. R. (2021). Impact of 2′-Fucosyllactose on Gut Microbiota Composition in Adults with Chronic Gastrointestinal Conditions: Batch Culture Fermentation Model and Pilot Clinical Trial Findings. Nutrients, 13(3), 938. https://doi.org/10.3390/nu13030938
×
Unser Produktberater hilft dir, das richtige Produkt zu finden!
Zum Produktberater
Unsicher, welches Produkt?
×